Rozhodujeme sa rozumom či emóciami? O hypotéze somatických markerov

avatar uživatele
Terézia Dlhošová
Tato e-mailová adresa je chráněna před spamboty. Pro její zobrazení musíte mít povolen Javascript.

Ľudová múdrosť tvrdí, že emócie a pocity môžu v procesoch uvažovania za určitých okolností vyvolať chaos. Niektoré výskumy tiež poukazujú na potenciálne škodlivý efekt emočných vplyvov. Preto je prekvapivé, že nedostatok emócii a pocitov ničí a zradzuje racionalitu, ktorá nás odlišuje ako ľudské bytosti a umožňuje nám rozhodovať sa v záujme našej vlastnej budúcnosti, spoločenských konvencií a morálnych princípov (Damasio, 2000). 

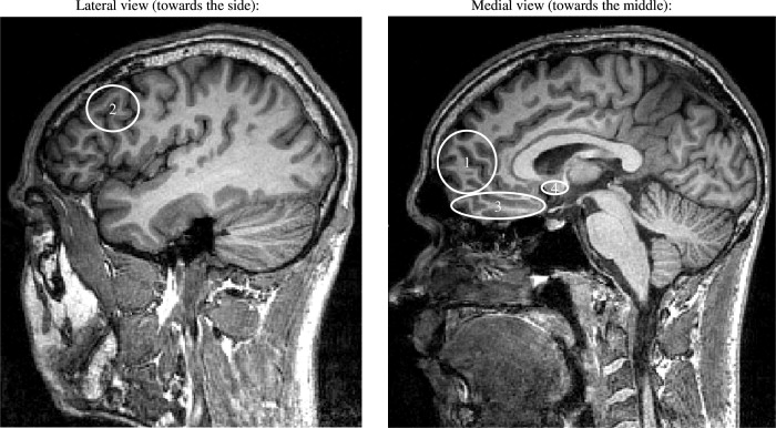
Hypotéza, ktorú predložil Damasio v knižke Descartesov omyl (2000) hovorí o možnej úlohe niektorých regiónov prefrontálneho kortexu (obrázok č. 1) v procesoch usudzovania a rozhodovania. Damasio tiež tvrdí, že oblasti spracovávajúce pocity zahrňujú okrem tradične uznávaného súhrnu mozgových štruktúr známych pod názvom limbický systém, rovnako niektoré oblasti najprednejších častí čelných lalokov, prefrontánej kôry a čo je najdôležitejšie, aj tie časti mozgu, ktoré mapujú a integrujú signály z tela.

obrázok č. 1 (Reimann a Bechara, 2010)

Hypotéza vznikla ako odpoveď na početné fascinujúce pozorovania neurologických pacientov s fokálnym úrazom hlavy v oblasti frontálneno laloku. Pacienti s úrazom prefrontálnej oblasti, hlavne jej ventromediálnej časti, vykazujú veľkú zmenu osobnosti a narušenie procesu rozhodovania hlavne v sociálnych a osobných situáciách. To sa deje aj napriek inak dobre zachovaným intelektovým schopnostiam (Damasio,2000). Majú ťažkosti v plánovaní ich pracovného dňa, plánovaní budúcnosti (krátkej alebo dlhodobej) a ťažkosti vo výbere vhodných kamarátov, partnerov a aktivít. Ich rozhodnutia vedú často k finančným stratám, znehodnoteniu spoločenského postavenia alebo konfliktom s rodinou a priateľmi. Sú teda pre nich osobne nevýhodné, sociálne neadekvátne a rozhodne sa odlišujú od rozhodnutí, ktoré zvykli robiť v období pred úrazom. Napriek tomu vo väčšine testov kognitívnych funkcií (pozornosť, pracovná pamäť, schopnosť triedenia vo WCST) majú normálne výsledky (Shallice a Evans, 1978).

Hoci pacienti s ventromediálnym poškodením skórovali v neuropsychologických testoch normálne, mali zmenšenú schopnosť vyjadriť emócie a zažiť pocity v situáciách, kedy by emócie normálne boli očakávané. Z toho Damasio vyvodil, že defekt v emóciách a pocitoch (spolu s ich neurobiologickými korelátmi) hrá dôležitú úlohu v patologických procesoch uvažovania a rozhodovania. Damasio verí (1996), že výsledok emócii je primárne reprezentovaný v mozgu formou dočasnej zmeny vo vzorcoch aktivity somatosenzorických štruktúr. Označuje preto zmeny emócie termínom „somatický stav“.

Východiská

Samotným pojmom somatické markre (doslova telesné značky) Damasio označuje „špecifický prípad pocitu vzniknutého na základe sekundárnych emócií, ktoré sú učením prepojené s predpokladanými následkami určitých reakcií“ (Damasio, 2000, str.155). Hypotéza tvrdí, že somatické markre normálne pomáhajú v procese rozhodovania tým, že vytvárajú priestor pre analýzu založenú na logike. Ventromediálna časť kortexu je pre túto funkciu výhodná aj z toho dôvodu, že má rozsiahle obojsmerné spoje s hippokampom a amygdalou. Blízko, v orbitofrontálnom regióne obsahujúcom sekundárne asociačné árey pre chuť a čuch, vstupujú hlavne vizuálne informácie a tým sú aj zahrnuté do signalizovania odmien vnímaného stimulu.

Damasio (1996) vychádza z existencie špecifických štruktúr. Ide konkrétne o ventromediálny prefrontálny kortex ako repozitár dispozične nahrávaných spojníc medzi faktickými znalosťami a bioregulatórnymi stavmi. Inými slovami štruktúry ventromediálneho prefrontálneho kortexu zabezpečujú učenie sa asociáciami medzi určitými typmi komplexných situácii na jednej strane a typmi bioregulatórnych stavov (zahrňujúcich emócie), ktoré sú s nimi obyčajne spojené počas prvých osobných zážitkov. Táto spojnica je dispozičná v zmysle, že neobsahuje reprezentáciu faktov alebo emocionálnych stavov explicitne, ale má potenciál na reaktivovanie emócie pomocou práce na vhodnej kortikálnej alebo subkortikálnej úrovni (Damasio,2000). 

Prečo by vlastne mali byť somatické markre také podstatné pre proces rozhodovania? Určité druhy situácii, hlavne tie osobného a sociálneho charakteru, sú často spojené s trestom a odmenou a teda s bolesťou, radosťou a reguláciou homeostatických stavov, vrátane časti regulácie vyjadrenej emóciami a pocitmi. Somatické markre nemusia hneď vystupovať vo forme pocitov, môže ísť o mechanizmy pozornosti. Damasio (2006) tiež dodáva, že určité situácie vyžadujú spomienky vyššieho rádu tvorené ako faktami tak aj stavmi tela, ktoré obyčajne tieto fakty v ľudskej skúsenosti sprevádzajú. 

Čo hovoria experimenty

Výskumy, o ktorých nám hovorí napríklad Damasio et al. (1990), Tranel (1994) alebo Tranel et al. (1995), zistili, že pacienti s bilaterálnym ventromediálnym frontálnym poškodením mozgu a s defektom v rozhodovaní v osobnom a sociálnom živote, nemajú schopnosť odpovedať somaticky na podnet s emočnou zložkou. Somatická odpoveď bola meraná pomocou galvanického odporu kože (SCR). Ide o aktivitu kože, ktorá súvisí s emocionalitou. Zatiaľčo dve kontrolné skupiny (zdravá skupina a skupina s poškodením mozgu mimo frontálnu oblasť) reagovali na podnet s emocionálnym nábojom štandardne a vykázali slabú odpoveď na emočne neutrálny podnet, tak u ventromediálnych frontálnych pacientov sa nenašla reakcia na emočne nabité podnety. 

Ďalší experiment snažiaci sa dokázať existenciu somatických markrov, prípadne dôležitosti emócii pri rozhodovaní celkovo, uskotočnil Bechara et al. (1994). Ide o takzvaný Iowa Gambling Task. Pacient E.V.R. stavil 2000 dolárov. Potom si mal vyberať karty zo 4 kôpok, v ktorých sa vyskytovala výhra alebo prehra. Niektoré balíčky boli vo všeobecnosti riskantnejšie než iné, pričom sa nedalo racionálne vypočítať, ktoré kôpky vedú viac k ziskom a ktoré ku stratám. Participant sa musel spoliehať na svoju schopnosť utvoriť si odhad, ktorý balíček je viac riskantný a ktorý nie. Výsledky ukázali, že zdraví jedinci mali signifikantne menej strát, než vetromediálny frontálny pacient, kvôli tomu, že si volili balíček s dlhodobým ziskom. 

Neskôr v ďalšom výskume (Bechara et al., 1997) kombinujúcom Iowa Gambling Test s meraním galvanického odporu kože zistili, že normálny jedinci si postupne počas experimentu vybudujú anticipačnú reakciu SCR na nevedomej úrovni. Ale ventromediálni pacienti túto schopnosť nerozvinuli. Ako záver navrhli, že senzorická reprezentácia situácie vyžadujúcej rozhodnutie vedie k interaktívnym reťaziam udalostí. Senzorická reprezentácia udalostí alebo fakty aktivujú neurálny systém, ktorý udržuje nedeklaratívne dispozičné vedomosti spojené s predchádzajúcim osobným zážitkom podobnej situácie. Tento proces končí aplikáciou stratégii uvažovania na fakty a možnosti. 

Kritika

Určite nájdeme aj štúdie, ktoré túto teóriu kritizujú. Niektoré tvrdia, že horšie výkony v Iowa Gamblin Task môžu súvisieť s reverzným učením. Ide o neschopnosť zastaviť naučené okolnosti, a teda potlačiť odpoveď, ktorá bola predtým odmenená a posunúť sa k novšie odmenenej odpovedi. (O reverznom učení je možné viacej sa dočítať napríklad v tejto štúdii: Fellows a Farah, 2003). Výkony môžu súvisieť aj s pracovnou pamäťou, posunom v pozornosti a s kognitívnymi procesmi vyššej úrovne (Dunn et al., 2006; Maia a McClelland 2004, Maia a McClelland, 2005). Maia a McClelland (2004) okrem toho tvrdia, že somatické markre nie sú vlastne potrebné pre rozhodovanie. Participanti môžu mať totiž o hre väčšie znalosti od začiatku, než Bachara et al. (1997) pôvodne myslel. Poukazujú tiež na fakt, že horšie výsledky v Iowa Gambling Testu vykazujú aj dorsolaterálny prefrontálny pacienti. Bechara et al. (2005) odpovedajú, že u spomínaných pacientov je tento efekt spôsobený poškodením pracovnej pamäti a iných kognitívnych funkcií.

Hlavný bod kritiky od Dunn et al. (2006) spočíva v tom, že teória somatických markrov je primárne vzťahovaná k periférnemu nervovému systému neurálnych okruhov, čo je pre organizmus nevýhodné. Pretože by vždy existovali ďalšie, rýchlejšie cesty, ktorými by telo mohlo predať informáciu potrebnú na rozhodovanie do mozgu.

Záver

Napriek týmto kritikám, je dôležitosť emócii v procese rozhodovania a ich prepojenie s kogníciou v odborných kruhoch prijímaná ako fakt. Ak vás táto problematika zaujíma viac, prečítajte si napríklad prehľadový článok Reimanna a Becharu (2010) „The somatic marker framework as a neurological theory of decision-making: review, conceptual comparisons, and future neuroeconomics research“, alebo knižku „Descartesův omyl“ od Damasia (2004), ktorá vyšla aj v češtine. 

Zdroje

  1. Bechara, A., Damasio, H., Tranel, D., & Damasio, A. R. (2005). The Iowa Gambling Task and the somatic marker hypothesis: some questions and answers. Trends in cognitive sciences, 9(4), 159-162.
  2. Bechara, A., Damasio, H., Tranel, D., & Damasio, A. R. (1997). Deciding advantageously before knowing the advantageous strategy. Science, 275(5304), 1293-1295.
  3. Bechara, A., Damasio, A. R., Damasio, H., & Anderson, S. W. (1994). Insensitivity to future consequences following damage to human prefrontal cortex. Cognition, 50(1), 7-15.
  4. Damasio, A. R., Tranel, D., & Damasio, H. (1990). Individuals with sociopathic behavior caused by frontal damage fail to respond autonomically to social stimuli. Behavioural brain research, 41(2), 81-94.
  5. Damasio, A. R., Everitt, B. J., Bishop, D., Damasio, A. R., Everitt, B. J., & Bishop, D. (1996). The somatic marker hypothesis and the possible functions of the prefrontal cortex [and discussion]. Philosophical Transactions of the Royal Society of London. Series B: Biological Sciences, 351(1346), 1413-1420.
  6. Damasio, A. R. (2000). Descartesův omyl. Praha: Mladá fronta.
  7. Dunn, B. D., Dalgleish, T., & Lawrence, A. D. (2006).The somatic marker hypothesis: A critical evaluation. Neuroscience and biobehavioral reviews, 30(2), 239.
  8. Fellows, L. K., & Farah, M. J. (2003). Ventromedial frontal cortex mediates affective shifting in humans: evidence from a reversal learning paradigm. Brain, 126(8), 1830-1837.
  9. Maia, T. V., & McClelland, J. L. (2005). The somatic marker hypothesis: still many questions but no answers. Trends in Cognitive Sciences, 9(4), 162-163.
  10. Maia, T. V., & McClelland, J. L. (2004). A reexamination of the evidence for the somatic marker hypothesis: What participants really know in the Iowa gambling task. Proceedings of the National Academy of Sciences of the United States of America, 101(45), 16075-16080.
  11. Reimann, M., & Bechara, A. (2010). The somatic marker framework as a neurological theory of decision-making: Review, conceptual comparisons, and future neuroeconomics research. Journal of Economic Psychology, 31(5), 767-776.
  12. Shallice, T. & Evans, M. E.(1978).The involvement of the frontal lobes in cognitive estimation. Cortex, 14, 294-303.
  13. Tranel, D. (1994). " Acquired sociopathy": the development of sociopathic behavior following focal brain damage. Progress in experimental personality & psychopathology research, 285.
  14. Tranel, D., Damasio, H., & Damasio, A. R. (1995). Double dissociation between overt and covert face recognition. Journal of Cognitive Neuroscience, 7(4), 425-432.

PARTNEŘI

OSEL.CZ

web: http://www.osel.cz/

OSEL.CZ

COOLNET

web: http://www.coolnet.cz/

coolnet.cz

e-mail: info@psychologon.cz tel.: +420 549 497 794 ISSN: 1805-7160

Psychologický ústav Filozofické fakulty Masarykovy univerzity
Arne Nováka 1
602 00 Brno
Česká republika